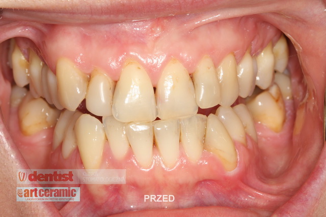
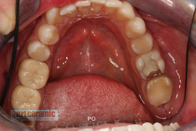
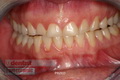
GALERIA

Przedstawiamy przykładowe prace oraz ich efekt po zacementowaniu w ustach pacjentów.

Wysoka estetyka oraz wierne odwzorowanie natury są naszym priorytetowym celem.

pl
en